Final 9a. Avenida Sur, Clínicas de Especialidades Nuestra Señora de la Paz, local 2-1
Lunes a Sábado 08:00 – 11:30 a. m.
WhatsApp :
(503) 7218-4345
Principal
Acerca
Presentaciones
Conferencias Magistrales
Casos Clínicos
Temas Dermatológicos
Atlas
Servicios
Blog
Contacto
Call Now
+92 (8800) - 98670
Send Email
help@company.com
Send Email
Mon - Sat 8:00 - 6:30, Sunday - CLOSED
Atras
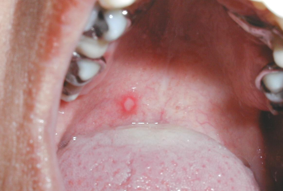
VARICELA
VARICELA
VARICELA
VARICELA
VARICELA
VARICELA
VARICELA
VARICELA
VARICELA
VARICELA
VARICELA
×
Descargar imagen
Cerrar